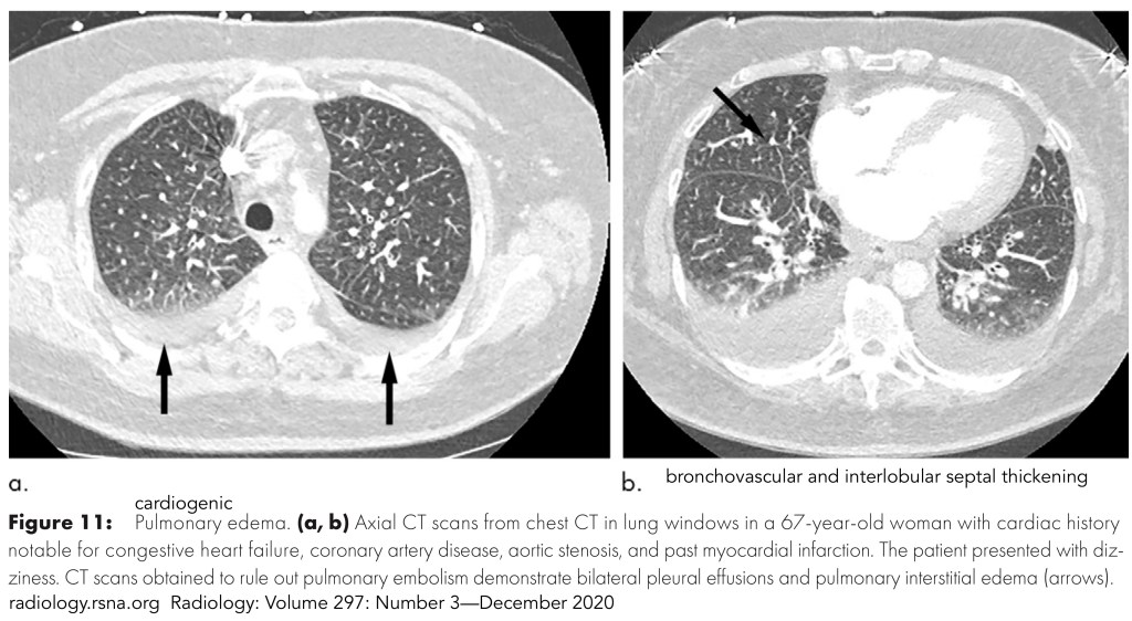
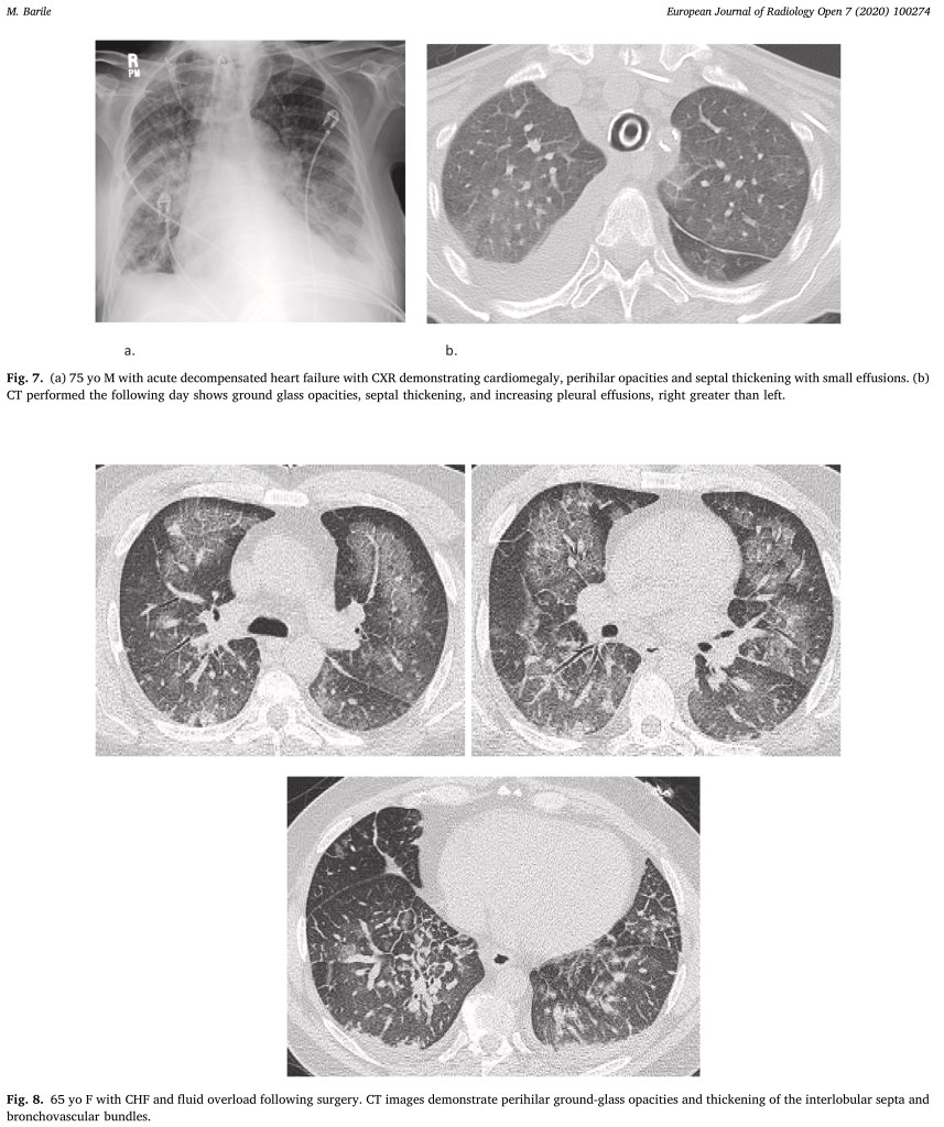
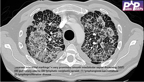
mental roadmap to acute pulmonary edema








Disclaimer
Special thanks to all FOAMEd folks who I am learning from: Anton Helman, Amal Mattu, Anand Swaminathan, Walter Himmel, Justin Morgenstern, Martin Fandler, Philipp Gotthardt, Scott Weingart, Reuben Strayer, Chris Nickson, Sarah Gray, Joshua Farkas, Adam Thomas, Mike Cadogan, Oliver Flower, Salim Rezaie, Rob Orman, Joel Topf, Andrew Davies, Christina Shenvi, Alex Yartsev, Sergey Motov, Stephanie Sherman, Robert "Uncle Bob" Centor, Shreya Trivedi, Matthew Watto, Paul Williams, Stuart Brigham, Hannah Abrams, Avi Cooper, Tony Breu, Sharmin Shekarchian, Rabih Geha, Reza Manesh, Arsalan Derakhshan, Gurpreet Dhaliwal, Cindy Fang, Anand Viswanathan, John Hwang, Zaven Sargsyan, Mike Winters, Nick Mark, Lauren Westafer, Jeremy Faust, Greg Katz, Evan Harmon, Todd Villines, Sohah Iqbal, Michael Ragosta, Vickie Kassapidis, Brandon Oto, Bryan Boling, Alison Lai, Zahra Merali, Laiya Carayannopoulos, Emily Gutowski, Walker Redd, Navin Kumar, Joyce Zhou, Haney Mallemat, Matt Siuba, David Carr, Sebastian Casu, Michael Bernhard, Mike Cadogan, Ed Burns, Neil Long, Jacob Avila, Ben Smith, Björn Hossfeld, Sara Crager, Tim Horeczko, Simon Carley, Rick Body, Sarah Foohey, Peter DeBlieux, John Greenwood, Robert Rodriguez, Ronak Mistry, Vivek Patel, Dan Hausrath, Ryan Stanton, Ingmar Finkenzeller, Christine Whitten, Nick "OnePager" Mark, Sergio Zanotti, Kristina “Monty” Montemayor, Dave “Furf” Furfaro, Charlie Wiener, Cathy Handy, Cyrus Askin
Reply